Galería y Ejemplos de Casos
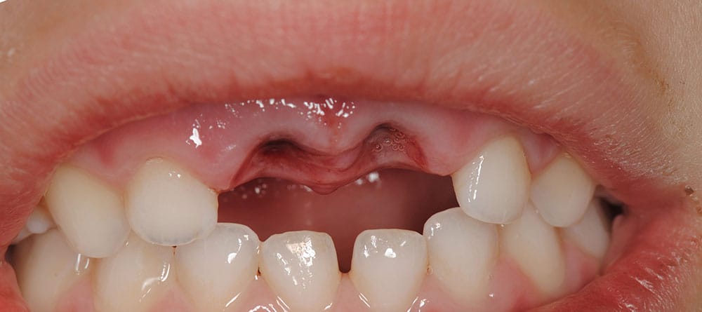
Complicaciones en cirugías odontológicas
Errores en Cirugía Dental: Cuando la Mala Praxis Afecta tu Salud

Una mala praxis en cirugía odontológica puede generar graves complicaciones, desde infecciones severas hasta daños irreversibles en estructuras nerviosas.

Un error común es la extracción incorrecta de una pieza dental, dejando restos radiculares o perforando innecesariamente el hueso maxilar.

Estas negligencias pueden derivar en dolor crónico, infecciones y la necesidad de tratamientos adicionales. Si has sido víctima de un procedimiento mal realizado, es fundamental buscar asesoramiento profesional para evaluar tu caso y tomar las medidas necesarias.

ADVERTENCIA: Este galería contiene imágenes que pueden afectar la sensibilidad de algunas personas
Complicaciones en tratamientos de conducto
Errores en Endodoncia: Cuando la Mala Praxis Pone en Riesgo tu Salud

La endodoncia, o tratamiento de conducto, es un procedimiento delicado que requiere precisión. Sin embargo, una mala praxis odontológica puede derivar en graves consecuencias. Errores como la perforación del conducto radicular, el uso inadecuado de materiales de obturación, la fractura de instrumentos dentro del canal o la falta de sellado correcto pueden generar infecciones, dolor persistente e incluso la pérdida del diente.

Si has experimentado complicaciones tras una endodoncia, es fundamental acudir a un especialista para evaluar el daño y determinar las acciones necesarias. La detección temprana de una mala praxis puede evitar problemas mayores y proteger tu salud bucal.

ADVERTENCIA: Este galería contiene imágenes que pueden afectar la sensibilidad de algunas personas
Negligencia en implantes dentales
Negligencia en implantes dentales: causas, consecuencias y cómo actuar ante un error profesional

Los implantes dentales son una solución efectiva para la pérdida de dientes, pero cuando no se colocan correctamente, pueden generar graves complicaciones.

La mala praxis en implantología puede incluir errores como una planificación inadecuada, perforaciones excesivas en el hueso, colocación incorrecta del implante, uso de materiales de baja calidad o la falta de integración ósea adecuada.

Estos fallos pueden derivar en infecciones, pérdida del implante, daño a estructuras nerviosas o incluso fracturas óseas. Si experimentaste dolor intenso, movilidad del implante o inflamación persistente, es fundamental acudir a un especialista y evaluar la posibilidad de una reclamación legal. Un peritaje odontológico adecuado puede determinar si hubo negligencia en tu tratamiento y ayudarte a tomar las medidas necesarias.

ADVERTENCIA: Este galería contiene imágenes que pueden afectar la sensibilidad de algunas personas
Infecciones tras tratamientos dentales
Infecciones Odontológicas por Mala Praxis: Un Riesgo Evitable

Las infecciones en odontología pueden ser el resultado de una mala praxis cuando el profesional no sigue los protocolos adecuados de higiene, esterilización o tratamiento. Errores como la falta de asepsia en instrumentos, la prescripción inadecuada de antibióticos o la mala manipulación de tejidos pueden provocar infecciones graves, poniendo en riesgo la salud del paciente.

Estas infecciones pueden derivar en abscesos, pérdida ósea, complicaciones sistémicas e incluso sepsis en los casos más severos. Si tras un procedimiento dental presentas inflamación severa, fiebre o supuración, podrías estar ante un caso de negligencia odontológica. Un peritaje especializado puede determinar las responsabilidades y brindarte las bases para una reclamación legal.

ADVERTENCIA: Este galería contiene imágenes que pueden afectar la sensibilidad de algunas personas
Errores en reestructuraciones dentales
Reestructuraciones Dentales Fallidas: Cuando la Mala Praxis Daña tu Sonrisa

Las reestructuraciones dentales, como coronas, carillas o reconstrucciones de piezas dañadas, deben realizarse con precisión para restaurar tanto la estética como la funcionalidad. Sin embargo, una mala praxis puede derivar en problemas graves, como ajustes incorrectos, materiales inadecuados, incompatibilidad con la mordida o fallas en la adhesión.

Cuando una reestructuración es deficiente, el paciente puede sufrir dolor persistente, fracturas prematuras, dificultades para masticar o incluso la necesidad de retirar y repetir el procedimiento. Si experimentaste alguno de estos problemas tras un tratamiento dental, un peritaje odontológico puede ayudarte a determinar si hubo negligencia y cuáles son las opciones legales para reclamar una solución.

ADVERTENCIA: Este galería contiene imágenes que pueden afectar la sensibilidad de algunas personas
Mala praxis en radiografías dentales
Errores en Radiografías Dentales: Un Riesgo en el Diagnóstico y Tratamiento

Las radiografías dentales son fundamentales para un diagnóstico preciso y la planificación de tratamientos. Sin embargo, una mala praxis en su interpretación o realización puede llevar a errores graves, como diagnósticos incorrectos, tratamientos innecesarios o la omisión de patologías importantes.

Entre los errores más comunes están la mala calidad de la imagen, exposición innecesaria a radiación, interpretación errónea de caries o infecciones, y fallos en la identificación de estructuras anatómicas. Estas negligencias pueden derivar en extracciones innecesarias, colocación incorrecta de implantes o la progresión de enfermedades sin detectar.

ADVERTENCIA: Este galería contiene imágenes que pueden afectar la sensibilidad de algunas personas
Negligencia en el tratamiento de traumatismos dentales
Mala Praxis en el Manejo de Traumatismos Dentales

Los traumatismos dentales requieren atención rápida y precisa para evitar complicaciones a largo plazo. Sin embargo, una mala praxis en su manejo puede agravar la lesión, causando pérdida dental, infecciones o daños en los tejidos circundantes.

Los errores más comunes incluyen diagnósticos incorrectos, falta de estabilización de piezas afectadas, tratamientos inadecuados o la omisión de controles posteriores. Esto puede derivar en necrosis pulpar, movilidad dental, infecciones o incluso la necesidad de extracciones innecesarias.

ADVERTENCIA: Este galería contiene imágenes que pueden afectar la sensibilidad de algunas personas